Descrição

Introdução à Imunologia: histórico, principais células, tecidos e órgãos que compõem o sistema imunológico e o reconhecimento dos antígenos.

PROPÓSITO

Estudar o histórico da Imunologia, a composição e a resposta imune é importante para entender o funcionamento fisiológico do sistema imunológico e compreender como ele age no combate às doenças.

OBJETIVOS

Módulo 1

Definir as funções do sistema imunológico e as principais características das respostas imunológicas

Módulo 2

Identificar os órgãos linfoides e as características das células que compõem o sistema imunológico

Módulo 3

Reconhecer o processamento dos antígenos e de que forma são apresentados e identificados

Introdução

Vamos iniciar nosso estudo sobre o sistema imunológico, explorando, desde o histórico dessa incrível ciência, até a sua composição e funcionamento. Além disso, iremos abordar os principais conceitos, as células que compõem esse sistema, assim como os órgãos que são responsáveis por proteger o nosso organismo contra possíveis invasores.

Antes de começar a explorar essa ciência, precisamos entender que as células que compõem o sistema imunológico são formadas a partir de células precursoras.

Você sabe o que são células precursoras?

As células precursoras são “células-mãe”, ou seja, que sofrem o processo de diferenciação originando células especializadas, como por exemplo, células da pele, dos ossos, do sangue, dos músculos, entre outros. Além disso, é importante lembrar que os órgãos são estruturas que desempenham funções específicas no organismo, como a boca, os pulmões, intestinos, vasos sanguíneos, medula óssea e muitos outros.

Para o bom funcionamento do sistema imunológico, a participação dos órgãos é fundamental.

E o que é imunologia?

É um ramo da ciência que estuda a prevenção, o diagnóstico e o tratamento de doenças e alergias. Um sistema imunológico eficaz é essencial para que estejamos vivos.

A seguir, vamos juntos conhecer esse mundo extraordinário que é a Imunologia.

MÓDULO 1


Definir as funções do sistema imunológico e as principais características das respostas imunológicas

Histórico da imunologia como ciência

A palavra imunidade é derivada do latim immunis ou immunitas cujo significado é “isento de carga”. Na Antiguidade, ela era empregada na política para designar a proteção oferecida aos senadores romanos durante seus mandatos contra possíveis processos legais. Até hoje, a palavra tem esse uso.

Na área da saúde, imunidade é a proteção contra doenças, principalmente doenças infecciosas. Indivíduos que não sucumbem a uma doença quando infectados são chamados de imunes, e a resistência específica a uma determinada doença é chamada de imunidade. A Imunologia é um ramo da Biologia que tem como responsabilidade o estudo das reações de defesa de um organismo que irão conferir resistência a uma determinada doença.

A Imunologia é uma ciência relativamente nova. Sua origem foi datada no final do século XVIII, quando Edward Jenner (naturalista e médico britânico) observou que a varíola bovina, que normalmente se manifestava de forma branda, parecia conferir proteção contra a varíola humana, que era geralmente fatal. Isso porque ele notou que as pessoas que ordenhavam vacas e tinham contraído a forma bovina da doença, não contraiam a varíola humana.

Em 1796, Edward Jenner coletou o pus de pústulas provenientes da mão da ordenhadora Sarah Nelmes, que havia contraído a varíola bovina, e inoculou em um menino de oito anos saudável chamado James Phillips.

Após a inoculação, James adquiriu a forma branda da doença e logo ficou curado. Alguns meses depois, Jenner inoculou o líquido extraído de uma pústula de varíola humana no mesmo menino e este não contraiu a doença. Dessa forma, Jenner conseguiu demonstrar que a inoculação da varíola bovina poderia conferir proteção contra a varíola humana.

Edward Jenner chamou esse procedimento de vacinação, termo que é utilizado até hoje, para descrever a inoculação de amostras atenuadas ou enfraquecidas de agentes patológicos em indivíduos saudáveis, com a finalidade de conferir proteção contra essas doenças. Quando Jenner introduziu o processo de vacinação, ele não conhecia os agentes infecciosos que causam as doenças.

No final do século XIX, o alemão Robert Koch provou que microrganismos patogênicos eram os causadores de doenças infecciosas, sendo cada microrganismo responsável por determinada patologia ou enfermidade. Atualmente, os microrganismos patogênicos podem ser classificados em quatro grandes classes: os vírus, as bactérias, os fungos patogênicos e protozoários. A partir das descobertas de Koch e de outros pesquisadores foi possível o desenvolvimento da imunologia, por meio da vacinação para outras doenças.

Em meados de 1880, Louis Pasteur desenvolveu uma vacina contra a cólera aviária e uma vacina antirrábica, ambas bem-sucedidas. Apesar de Pasteur ter tido sucesso no desenvolvimento das vacinas, ele tinha pouco conhecimento sobre os mecanismos que estavam envolvidos no processo de imunização. Propôs que organismos presentes na vacina eram capazes de remover nutrientes essenciais do corpo e, dessa forma, os agentes causadores das doenças não conseguiriam crescer e proliferar. Esses vários acontecimentos práticos resultaram na busca pelo entendimento dos mecanismos de proteção imunológica.

Além desses marcos relacionados à vacinação, também é importante destacar que, no início da década de 1890, Emil von Behring e Shibasaburo Kitaso demonstraram que a proteção exercida pela vacinação não era oriunda da remoção de nutrientes, mas estava relacionada a fatores de proteção presentes no soro de indivíduos vacinados. Os dois cientistas descobriram que o soro de animais imunes ao tétano e à difteria possuía uma “atividade antitóxica” específica que poderia promover proteção a curto prazo contra os efeitos das toxinas dessas doenças. Esta atividade antitóxica era desempenhada por substâncias que foram então chamadas de anticorpos, que são capazes de se ligar especificamente às toxinas e as neutralizar. Em 1901, Emil von Behring recebeu o primeiro prêmio Nobel de Medicina por seu trabalho sobre os anticorpos.

Clique nas setas para ver o conteúdo. Objeto com interação.

Processo de absorção de microrganismos pelos fagócitos.

Em 1882, a primeira grande controvérsia surgiu, quando Elie Metchnikoff demonstrou que algumas células eram capazes de “comer” microrganismos. Isso foi primeiramente demonstrado em animais invertebrados, e, mais tarde, nos mamíferos. Metchnikoff sugeriu que estas células faziam parte do principal mecanismo de defesa contra microrganismos — a elas foi dado o nome de fagócitos – e que os anticorpos tinham pouca relevância no sistema imunológico.

No entanto, em 1904, Almroth Wright e Joseph Denys mostraram que os anticorpos eram capazes de se ligar às bactérias e induzir a destruição delas pelos fagócitos, mostrando a importância dos anticorpos na defesa do organismo.

Descobertas sobre diferentes células, antígenos, estruturas moleculares, sistemas, entre outras tantas, foram fundamentais para que chegássemos ao conhecimento que temos atualmente. Também abriram possibilidades para a evolução da ciência.

Função do sistema imunológico

Para entendermos melhor cada um dos elementos que compõem o sistema imunológico, é preciso compreendê-lo com uma visão mais ampla. Vamos juntos?

Homeostasia

Processo de regulação pelo qual um organismo mantém constante o seu equilíbrio.

O sistema imunológico pode ser definido como um conjunto de moléculas, células e tecidos que medeiam a resposta imunológica, a fim de reconhecer determinadas estruturas moleculares ou antígenos e promover uma resposta efetiva, provocando a sua destruição ou inativação. Ou seja, o sistema imunológico é responsável por reconhecer e desenvolver uma resposta contra antígenos potencialmente patogênicos. Ele possui importante papel na manutenção da homeostasia, juntamente com os sistemas nervoso e endócrino, e é muito importante para a sobrevivência dos animais.

Existe uma enorme variedade de componentes e mecanismos atuando no sistema imunológico. Alguns desses elementos são responsáveis por defender o organismo contra um único invasor, enquanto outros são direcionados contra uma ampla quantidade de agentes infecciosos. O sistema imune compreende as principais vias com as quais o ser humano responde e se adapta aos desafios exógenos e endógenos. Além disso, têm papel fundamental na defesa contra infecções e circunstâncias que comprometam a integridade do organismo.

A principal função biológica executadas pelo sistema imunológico, é a capacidade de reconhecer e eliminar:

Moléculas alteradas e células lesadas ou mortas do próprio organismo.

Os agentes infecciosos, tais como vírus, bactérias, fungos, protozoários e helmintos.

As células tumorais.

Células, tecidos ou órgãos de origem genética diferente (como no caso de transplantas e enxertos).

Alguns dos elementos do sistema imunológico têm a capacidade de reconhecer de forma específica determinados antígenos ou fragmentos celulares. A natureza dos antígenos é extremamente variável e sua origem pode ser tanto externa quanto interna. Com isso, são produzidas interações com outros sistemas, como os sistemas nervoso e endócrino, de forma mais ou menos intensa, podendo acarretar alterações morfológicas e funcionais no organismo.

Várias funções executadas pelo sistema imunológico são consideradas redundantes, uma vez que diversos mecanismos são ativados contra um único invasor.

Saiba mais

Uma característica considerada fundamental para o sistema imunológico é a sua capacidade de aprendizagem e memória. Ele é capaz de extrair informações dos agentes infecciosos e disponibilizá-las para utilização no futuro em novas infecções ocasionadas pelos mesmos agentes ou por agentes similares.

Mas por que é importante estudar Imunologia?

Para conhecer melhor as características antigênicas dos patógenos.

Para desenvolver métodos imunológicos (diagnósticos sorológicos) mais eficazes na identificação de microrganismos.

Para conhecer os fatores de virulência dos agentes infecciosos.

Para o desenvolvimento de vacinas.

Para entender como as respostas imunológicas atuam e, com isso, desenvolver métodos eficazes de detecção e quantificação dessas respostas.

Anticorpos atacando um vírus, um dos exemplos de respostas imunológicas.

Propriedades gerais das respostas imunológicas

Como já vimos, a resposta imunológica é a reação desencadeada pelo sistema imunológico diante de um agente agressor com o intuito de proteger o organismo contra os danos que esse agente possa promover. Há situações em que a resposta imunológica pode ser considerada normal ou anormal.

Quando o sistema imunológico promove uma resposta considerada normal, podemos classificá-la em algumas etapas, de forma simplificada:

O sistema imunológico reconhece um antígeno estranho potencialmente nocivo.

Ativa e mobiliza os componentes do sistema de defesa contra o antígeno.

Promove o ataque propriamente dito.

Controla e finaliza o ataque, ou seja, finaliza a resposta imunológica.

Infelizmente, a resposta imunológica pode ocasionar efeitos negativos, como: insucesso de transplantes, respostas imunológicas anormais promovendo doenças com alto grau de morbidade e mortalidade, reações inflamatórias exacerbadas e dano orgânico.

Vamos, agora, conhecer alguns casos em que a resposta imunológica se encontra anormal:

Clique nas barras para ver as informações. Objeto com interação.
O organismo produz uma resposta imunológica contra o próprio corpo do indivíduo, desenvolvendo uma doença autoimune

No caso de disfunção da resposta, o sistema imunológico confunde o próprio corpo como algo estranho, promovendo ataque aos tecidos do próprio organismo e causando as famosas doenças autoimunes: artrite reumatoide, tireoidite de Hashimoto, lúpus eritematoso sistêmico, esclerose múltipla, diabetes tipo 1, entre outras. Ainda não se sabe exatamente o que leva o sistema imunológico a desencadear respostas contra as próprias células do indivíduo.

O organismo não é capaz de gerar respostas imunológicas eficientes contra microrganismos que o invadem

Isto acontece em doenças decorrentes de imunodeficiência. Indivíduos com respostas imunológicas defeituosas se tornam suscetíveis a uma série de infecções, que frequentemente os colocam em risco de vida. O crescimento da síndrome da imunodeficiência adquirida (AIDS), a partir dos anos 1980, mostrou de maneira trágica a importância de um sistema imunológico eficiente para a saúde das pessoas. É importante destacar que a relevância da Imunologia vai além das infecções.

O corpo provoca uma resposta excessiva a antígenos que prejudica tecidos normais

Pode ocorrer em situações como no caso de uma reação alérgica.

Existem casos em que o sistema imunológico do indivíduo está funcional, porém não consegue combater de forma eficaz algumas anormalidades

Acontece em algumas doenças infecciosas ou no câncer. Nestes casos, a resposta imunológica específica leva tempo para se desenvolver, e muitas vezes o agente agressor, tal como microrganismos ou mesmo células neoplásicas, desenvolve mecanismos de evasão para fugir da resposta.

Em suma, as respostas imunológicas em indivíduos saudáveis são capazes de prevenir e controlar diversas infecções, além de otimizarem as respostas contra diferentes tipos de microrganismos.

Você sabia

O sistema imunológico também é capaz de avisar sobre a presença de uma infecção, acionando os mecanismos que irão atuar contra os microrganismos causadores de doenças que conseguiram ultrapassar as respostas imunológicas iniciais.

Recentes avanços da imunologia

Os estudos na área da Imunologia começaram no século XVIII, como vimos, e se estendem até os dias de hoje. Esses estudos proporcionaram à área da saúde diferentes avanços, desde as vacinas, o diagnóstico sorológico e até mesmo a possibilidade de transplantes entre indivíduos diferentes. Certamente, as pesquisas científicas continuarão a nos surpreender. Vamos agora conhecer um pouco mais das recentes descobertas da ciência.

Imunoterapia

A imunoterapia consiste em um tratamento biológico que procura potencializar o sistema imunológico do indivíduo de forma que ele consiga combater infecções e outras doenças. Esta modalidade de terapia pode agir estimulando o sistema imunológico de uma forma geral, enquanto outras terapias auxiliam o sistema imunológico a agir de forma específica contra células cancerosas, por exemplo.

Nas últimas décadas, cresceu o número de pesquisas que visa o desenvolvimento de tratamentos imunoterápicos. Além disso, essa terapia ganhou destaque e se tornou uma importante ferramenta para o tratamento de alguns tipos de câncer como melanoma, câncer renal, câncer de pulmão, entre outros, podendo se associar a outras terapias, como a quimioterapia tradicional, a fim de promover uma maior eficácia no tratamento.

Transplantes e drogas imunossupressoras

O transplante consiste na transferência de células, tecidos ou órgãos de uma pessoa doadora para outra pessoa receptora. Um dos principais problemas deste procedimento é a grande chance de rejeição pelo sistema imunológico do receptor.

Para contornar este problema, foram descobertos medicamentos que poderiam ser usados como imunossupressores. Esses medicamentos, de uma forma geral, são capazes de driblar o sistema imunológico enfraquecendo-o, minimizando os riscos de rejeição. Essa descoberta possibilitou que o transplante fosse viável entre indivíduos que não fossem gêmeos idênticos.

Nos últimos dez anos, houve um avanço importante nos resultados dos transplantes, com o surgimento de novas e poderosas drogas imunossupressoras. Muitas delas já estão liberadas para uso nas clínicas, enquanto outras ainda estão na fase de estudo experimental e pré-clínica.

Vacinação

De forma geral, a produção das vacinas atuais acontece da mesma forma que era produzida antigamente: a partir da inoculação no corpo humano de bactérias ou vírus enfraquecidos (atenuados), mortos ou fragmentados que não são capazes de causar infecções, mas desencadeiam uma resposta imunológica.

Existem vírus tão complexos, sobre os quais as vacinas convencionais não conseguem ter eficácia, como o vírus da dengue e o da hepatite C. Como alternativa, os cientistas buscam novas técnicas para criação de vacinas, como por exemplo a utilização de vírus modificados geneticamente.

Os vírus modificados carregam genes de vírus causadores de outras doenças e por isso são chamados de vetores virais. Ao entrarem no organismo humano, esses vetores virais não causam infecções, mas produzem proteínas de vírus de outras doenças, estimulando o sistema imunológico a produzir anticorpos contra essas proteínas.

Mas por que escolher vírus como vetores?

A escolha dos vírus como vetores acontece porque já sabemos que eles evoluem e desenvolvem estratégias para penetrar nas células-alvo, “sequestrar” a maquinaria celular e, a partir disso, produzirem suas progênies, ou seja, seus descendentes virais.

Esse conhecimento é a base para o desenvolvimento e fabricação das vacinas utilizando vetores virais.

Exemplo

Para que cientistas criem uma vacina contra o vírus A, utilizam um vetor viral B geneticamente modificado. Neste caso, o vírus B será modificado de forma que os genes essenciais à replicação e à patogenicidade sejam eliminados, assim ele funcionará apenas como um transportador de material genético que, neste caso, é o material genético do vírus A. Sendo assim, ao entrar no organismo, o vírus não causa doença, mas aumenta a síntese de proteínas do vírus A, estimulando nosso organismo a reconhecer essas proteínas e produzir anticorpos contra elas.

Essas novas vacinas ainda estão em fase de estudo e precisam de novos testes até que possam ser aplicadas na população.

Por que desenvolver vacinas é tão complexo?

Assista ao vídeo que apresenta os desafios e as etapas envolvidas no desenvolvimento de vacinas.

Verificando o aprendizado

ATENÇÃO!

Para desbloquear o próximo módulo, é necessário que você responda corretamente a uma das seguintes questões:

O conteúdo ainda não acabou.

Clique aqui e retorne para saber como desbloquear.

MÓDULO 2


Identificar os órgãos linfoides e as características das células que compõem o sistema imunológico

Principais células do sistema imunológico

Como aprendemos, o sistema imunológico executa sua função de proteção por meio de suas respostas imunológicas. Essas respostas precisam distinguir o que é próprio do organismo e o que não é. Além disso, também precisam ser capazes de identificar diferentes antígenos, mesmo quando suas estruturas são muito parecidas.

As respostas imunológicas podem ser divididas em dois tipos: a resposta imune inata e a resposta imune adquirida. Não iremos abordá-las especificamente agora, pois, para entendê-las, precisamos conhecer os principais componentes que fazem parte desse sistema tão complexo.

Origem das células do sistema imunológico

As células do sistema imunológico são produzidas na medula óssea vermelha, que se localiza nas cavidades ósseas, no interior do tecido ósseo esponjoso. Elas estão presentes no fêmur, nos ossos do crânio, na crista ilíaca, entre outros.

As células que compõem o sistema imunológico estão, normalmente, distribuídas em vários locais do organismo: circulando no sangue e na linfa, presentes nos órgãos linfoides e dispersas em vários tecidos do corpo. A capacidade das células de se deslocar entre sangue, linfa e tecidos representa uma grande importância para a geração das respostas imunológicas.

Clique nas setas para ver o conteúdo. Objeto com interação.

Diferenciação de uma célula-tronco hematopoiética na medula óssea vermelha.

No caso das células do sistema imunológico, elas são chamadas células-tronco hematopoiéticas pluripotentes.

Processo de hematopoiese.

As células-tronco hematopoiéticas pluripotentes são responsáveis pela formação das células e derivados celulares circulantes do sangue, originando variáveis tipos de células sanguíneas.

Hematopoiese

Nome dado ao processo de formação, desenvolvimento e maturação dos elementos do sangue a partir de um precursor celular comum.

As células-tronco hematopoiéticas originam os eritrócitos, os leucócitos e os megacariócitos pelo processo chamado Hematopoiese.

Os eritrócitos, também conhecidos como glóbulos vermelhos do sangue, não participam do sistema imunológico. Eles apresentam como principal função o transporte de gases no sangue. Já as plaquetas são fragmentos celulares que participam da coagulação sanguínea.

Diferenciação celular

Também conhecida como “especialização celular”, é um processo que torna as células especializadas em determinada função, ou seja, é gerada uma diversidade celular com funções específicas.

Os leucócitos, também chamados de glóbulos brancos, compõem nosso sistema imunológico. Mas como isso acontece?

As células-tronco hematopoiéticas pluripotentes são células menos diferenciadas responsáveis pela formação das células do sangue. Elas sofrem sucessivas mitoses e participam do processo de diferenciação celular que origina duas principais e importantes linhagens celulares: a mieloide e a linfoide.

Linhagem mieloide

Linhagem celular que origina os neutrófilos, eosinófilos, basófilos, monócitos e mastócitos, que são as células que compõem a imunidade. Além disso, também origina eritrócitos e plaquetas.

Linhagem linfoide

Linhagem celular que origina os linfócitos T, linfócitos B e células NK.

Esse processo é altamente regulado e controlado por fatores de crescimento, hormônios e moléculas sinalizadoras que estimulam a diferenciação das células-tronco.

Em resumo, podemos entender o processo de origem das células da seguinte forma:

Células-tronco hematopoiéticas recebem estímulos para produção celular.

Realizam sucessivas mitoses e se multiplicam.

Promovem a diferenciação em células de duas linhagens diferentes: linhagem mieloide e linhagem linfoide.

Células do sistema imunológico – linhagem mieloide

Veja a seguir as características das células da linha mieloide:

Clique nas barras para ver as informações. Objeto com interação.
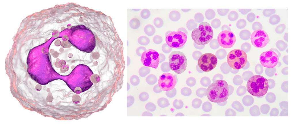
Neutrófilos

Os neutrófilos apresentam o núcleo segmentado (de três a cinco lóbulos) e seu citoplasma contém grânulos específicos repletos de enzimas, que podem ser divididos em grânulos primários e grânulos secundários.


Os grânulos primários participam da digestão celular, enquanto os secundários agem principalmente no combate a patógenos e proteção celular. Constituem a população mais abundante entre os leucócitos circulantes e representam o principal tipo de célula que atua nas reações inflamatórias agudas. Atuam na defesa do organismo contra processos infecciosos bacterianos e apresentam importante capacidade fagocítica. A capacidade fagocítica, também chamada de fagocitose, é um processo em que a célula engloba e destrói partículas sólidas, como bactérias e restos celulares, com a intenção de promover proteção ao organismo. Isso é feito a partir dos seus grânulos citoplasmáticos.

Eosinófilos

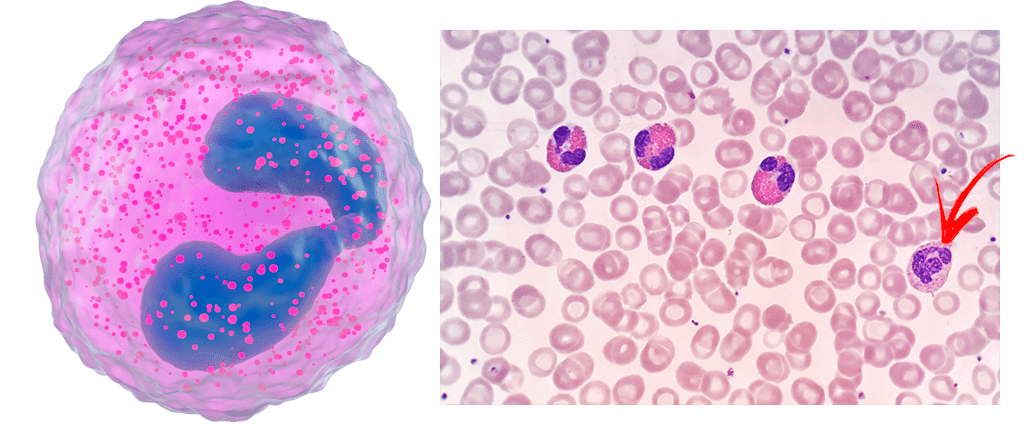
Os eosinófilos apresentam núcleo bilobulado e são células que apresentam grânulos citoplasmáticos com enzimas nocivas às paredes celulares de parasitas. Os eosinófilos circulam no sangue e podem ser recrutados para os tecidos.


Alguns eosinófilos podem estar presentes nos tecidos periféricos, especialmente nos revestimentos de mucosa dos tratos respiratório, geniturinário e gastrointestinal. O número de eosinófilos pode aumentar em determinado tecido por conta do recrutamento a partir do sangue, que ocorre no caso de inflamação e presença de parasitas alojados no tecido.

Basófilos

Os basófilos apresentam núcleo volumoso, irregular e muitas vezes está encoberto por grânulos abundantes que preenchem o citoplasma. São granulócitos sanguíneos que constituem menos de 1% dos leucócitos do sangue. Embora essas células estejam normalmente ausentes nos tecidos, podem ser recrutadas para locais inflamatórios.

Mastócitos

Os mastócitos apresentam núcleo redondo ou ovalado, com grânulos no citoplasma. São células que se encontram nos epitélios da pele e das mucosas. Quando são ativadas, liberam seus potentes mediadores inflamatórios que promovem defesa contra infecções por parasitas; também produzem os sintomas das doenças alérgicas.


Esses mediadores inflamatórios, como por exemplo a histamina, são capazes de promover alterações nos vasos sanguíneos causando a inflamação. Os mastócitos maduros são normalmente encontrados na circulação sanguínea, mas também podem estar nos tecidos em condições normais, próximos a pequenos vasos sanguíneos e nervos.

Monócitos

Os monócitos são células que apresentam núcleo ovoide em forma de rim e seu citoplasma possui grânulos pouco visíveis.

Essas células estão circulantes no sangue e, quando são recrutadas e migram para os tecidos, principalmente em reações inflamatórias, se diferenciam em macrófagos. Além disso, os monócitos são precursores das células dendríticas, que compõem o sistema imunológico, e dos osteoclastos, células que compõem a matriz óssea.

Macrófagos

Os macrófagos, por sua vez, são fagócitos que estão amplamente distribuídos nos tecidos do organismo (pulmão, fígado, rins, sistema nervoso e tecido conjuntivo) e atuam na defesa desses tecidos. Em contato com o agente agressor, os macrófagos apresentam uma enorme capacidade fagocítica. Ele funciona tanto na resposta imune inata (inicial) quanto é capaz de estimular a resposta imune adaptativa (mais especializada), pois apresenta antígenos aos linfócitos T.


Devido a essa função de apresentar antígenos a outras células do sistema imunológico, podemos chamá-las de “células apresentadoras de antígenos”, mas isso vamos entender depois.

Célula Dendrítica

As células dendríticas são originadas a partir de monócitos. Elas são células circulantes e residentes nos tecidos que percebem e iniciam reações contra patógenos. Também são apresentadoras de antígenos aos linfócitos T. Seu nome “dendríticas” refere-se às inúmeras projeções membranares longas (ou dendritos) que possuem.

Células do sistema imunológico – linhagem linfoide

Linfócitos T e B são células muito importantes no sistema imunológico. São capazes de reconhecer moléculas estranhas de diversos agentes infecciosos e combatê-las a partir de respostas imunológicas. Seu núcleo é redondo com cromatina condensada e o citoplasma é escasso. Apesar de sua semelhança morfológica, os linfócitos T e B apresentam funções diferentes: Os linfócitos B são responsáveis pela produção de anticorpos e desencadeam uma resposta chamada de humoral. Os linfócitos T, por sua vez, são divididos em linfócitos T CD4 (auxiliares) e T CD8 (auxiliares) que são responsáveis pela reposta imune celular. Vamos entender um pouco mais sobre essas células no próximo módulo.

Apoptose

Processo de “autodestruição” celular, pela ativação de uma cascata enzimática que culmina na morte da célula.

Lise

Rompimento da membrana plasmática, que leva a destruição ou morte celular.

As células NK, também chamadas de células natural killer, apresentam morfologia semelhante aos linfócitos T e B, mas são células maiores. Apresentam função citotóxica conferindo defesa inicial contra patógenos infecciosos, reconhecendo células do hospedeiro que se encontram lesadas e ajudando a eliminá-las. Também influenciam na resposta imune adaptativa.

Essas células citotóxicas possuem pequenos grânulos citoplasmáticos compostos por proteínas chamadas granzimas. As granzimas compreendem perforinas e proteases. Após serem liberadas, as perforinas formam poros na membrana plasmática da célula-alvo. São por esses poros que os demais grânulos penetram na célula, induzindo à apoptose e à lise da célula infectada.

Entendendo as células apresentadoras de antígenos

O vídeo apresenta uma abordagem detalhada sobre este grupo de células.

Plasmócitos

Células derivadas do linfócito B.

Tecidos linfoides associados à mucosa

Diversos patógenos que atingem o organismo humano, a partir da ingestão de alimentos contaminados, inalação de patógenos ou pela transmissão sexual, infectam as mucosas.

As mucosas dos tratos gastrointestinal, respiratório e geniturinário precisam de uma proteção imunológica para combater possíveis patógenos. Essa proteção é obtida a partir de células e de tecidos linfoides presentes na própria mucosa. Estes tecidos linfoides podem ser coleções difusas de células, como fagócitos, plasmócitos e linfócitos, ou um tecido linfoide associado a mucosa (MALT).

O tecido linfoide associado à mucosa é um microambiente antigênico com características imunológicas que o torna único, já que ele é capaz de desenvolver respostas imunológicas especializadas para a mucosa em que está contido. Ele apresenta como função geral a capacidade de desenvolver uma defesa primária na superfície mucosa.

MALT é um tecido povoado por macrófagos, células dendríticas e linfócitos, que em seres humanos compreende as tonsilas, as placas de Peyer do intestino delgado e o apêndice.

Funções fisiológicas

Absorção de alimentos (intestino), troca de gases (pulmões), atividade sensorial (olhos, nariz, boca e orofaringe) e função reprodutiva (vagina e útero).

As mucosas são sítios frágeis devido às suas funções fisiológicas. Por conta dessa fragilidade, é necessária a presença de mecanismos de defesa como o MALT. No entanto, é importante destacar que ele não é a única forma de defesa existente nas mucosas do organismo.

Outras formas de defesa, que não são o MALT:

Barreiras mecânicas (exemplo: integridade do epitélio).

Barreiras químicas (exemplos: HCl presente no suco gástrico no estômago, lágrima, bile etc.).

Barreira biológica (exemplo: microbiota).

Resposta imunológica inata (exemplos: sistema complemento, células fagocíticas etc.).

O MALT é um tecido responsável pela modulação da resposta imunológica diante do número de antígenos com que o organismo entra em contato. Contudo, ele detecta esses patógenos que penetram no intestino e os destrói.

Órgãos linfoides e redes linfocitárias

O sistema imunológico é constituído por vários órgãos linfoides, que possuem como principal função a produção de linfócitos. Essas células são derivadas das células-tronco hematopoiéticas da medula óssea e desempenham importante papel no desenvolvimento das respostas imunológicas e na produção de anticorpos.

Os linfócitos podem ser divididos em linfócitos B e linfócitos T. Os linfócitos B começam a amadurecer na medula óssea, entram na circulação e migram para o baço, onde completam sua maturação. No entanto, os precursores dos linfócitos T precisam sair da medula óssea, seguir pela corrente sanguínea e chegar ao timo, local onde essas células realizam a sua maturação. Apenas depois de maduros os linfócitos T migram para outros órgãos.

Os órgãos linfoides podem ser divididos em primários e secundários. Os órgãos linfoides primários ou centrais possuem função de produção de linfócitos, ou seja, são órgãos geradores. São exemplos de órgãos linfoides primários: a medula óssea, responsável pela hematopoiese (processo de produção e renovação celular do sangue; e o timo, onde ocorre o desenvolvimento das células T.

Já os órgãos linfoides secundários ou periféricos são os locais onde se desenvolvem respostas imunológicas em nosso organismo: os linfonodos, o baço e o MALT. Eles são povoados por diferentes células do sistema imunológico.

Podemos organizar os órgãos linfoides primários e secundários e suas funções conforme os quadros a seguir:

Órgão linfoide primário Timo Quadro Medula óssea
Função: Produção e amadurecimento Amadurecimento de linfócitos T Produção celular e amadurecimento de linfócitos B
Quadro 1 – Órgãos linfoides primários.
Órgão linfoide secundário Linfonodos Baço MALT
Função: Resposta imunológica Contra antígenos nos tecidos Contra antígenos no sangue Contra antígenos na superfície mucosa
Quadro 2 – Órgãos linfoides secundários.

Os órgãos linfoides secundários têm localização anatomicamente estratégica no organismo, pois facilitam as interações celulares para o desenvolvimento da resposta imunológica. Basicamente, os linfonodos são responsáveis por drenar os antígenos diretamente dos tecidos ou que são transportados por células do sistema imunológico. O baço é responsável por monitorar o sangue e o MALT, que está localizado estrategicamente nas mucosas do corpo, funciona como um sistema de defesa avançado.

Vamos agora conhecer um pouco mais os órgãos linfoides:

Medula óssea

A medula óssea, como já aprendemos, é o local responsável pela geração de células do sangue. Após o nascimento, a hematopoiese acontece em todos os ossos do nosso corpo, porém, com o passar dos anos, ela vai se tornando restrita aos ossos chatos.

Na puberdade, a hematopoiese acontece principalmente no esterno, vértebras, ossos ilíacos e costelas. A medula óssea vermelha encontrada nesses ossos é formada por uma estrutura esponjosa reticular situada entre as trabéculas dos ossos longos. Se ocorrer uma lesão na medula óssea ou se houver uma demanda excepcional pela produção de células sanguíneas, o baço e o fígado geralmente se tornam locais de hematopoiese extramedular.

Timo

O timo é onde ocorre a maturação das células T. É um órgão bilobado que involui após a puberdade. Cada lobo do timo é dividido em múltiplos lóbulos, e cada lóbulo é constituído por um córtex externo e uma medula interna. O córtex é formado por uma densa coleção de linfócitos T, enquanto a medula mais clara é povoada por poucos linfócitos maduros.

Além de linfócitos, a medula do timo também contém macrófagos, células dendríticas, entre outras células. As células T do timo também podem ser chamadas de timócitos, que são células T em estágios de maturação diferentes.

Saiba mais

Para que um linfócito T maduro seja considerado adequadamente funcional, ele precisa se ligar à molécula do complexo de histocompatibilidade — MHC (seleção positiva) e não reagir contra antígenos próprios (seleção negativa). No córtex acontece a seleção positiva, e na medula do timo ocorre a seleção negativa. Após esse processo, as células T maduras e com funções adequadas deixam o timo, entram na corrente sanguínea e chegam aos tecidos.

Linfonodos

Os linfonodos são órgãos linfoides secundários, encapsulados e vascularizados, que possuem características anatômicas favoráveis para a iniciação das respostas imunológicas contra antígenos que foram transportados dos tecidos pelos vasos linfáticos. Esses órgãos estão localizados no corpo inteiro, ao longo dos canais linfáticos, e por esse motivo têm acesso facilitado aos antígenos originários da maioria dos tecidos, que são drenados pelos vasos linfáticos.

Existem aproximadamente 500 linfonodos no corpo humano e estes são circundados por uma cápsula fibrosa. Abaixo desta cápsula, existe um sistema sinusal repleto de linfócitos, macrófagos, células dendríticas e outros tipos celulares.

Baço

O baço é um órgão extremamente vascularizado que possui como funções principais remover células sanguíneas envelhecidas e danificadas da circulação e iniciar respostas imunológicas a antígenos que são transportados pelo sangue. Situa-se no quadrante superior esquerdo do abdome.

O baço é dividido em polpa vermelha, formada principalmente por sinusoides vasculares cheios de sangue, e polpa branca, que é rica em linfócitos T e B. Os macrófagos que estão presentes na polpa vermelha funcionam como um filtro do sangue, removendo microrganismos, células danificadas (como eritrócitos velhos) e células ou microrganismos que estão cobertos por anticorpos (opsonizados).

Opsonização

Mecanismo de facilitação da fagocitose, em decorrência de uma opsonina (anticorpo ou proteínas que participam da resposta imunológica) se ligar a um receptor na superfície do fagócito.

Você sabia

As pessoas que não possuem baço são suscetíveis a infecções. Isso acontece porque os microrganismos responsáveis por infecções, como as bactérias, por exemplo, são normalmente depurados através da opsonização e fagocitose. Essa função fica defeituosa na ausência do baço.

MALT

MALT, além de ser associado a mucosa também são órgãos linfoides secundários. E, como já vimos, é um componente do sistema imunológico que está associado às mucosas, envolvido nas respostas imunológicas contra antígenos e microrganismos ingeridos e inalados.

Rede linfocitária

O sistema linfático é formado por vasos especializados (que podem ser chamados somente de linfáticos) e por linfonodos. Os vasos linfáticos associados aos linfonodos formam uma impressionante rede, responsável pela drenagem de líquido (chamado de linfa) dos tecidos e o reconduz para o sangue. Os vasos linfáticos são indispensáveis para a homeostasia dos fluidos teciduais e para o desenvolvimento de respostas imunológicas.

O líquido intersticial é formado a partir do movimento de um filtrado do plasma para fora dos capilares e esse movimento acontece constantemente em tecidos vascularizados. A velocidade de formação desse líquido intersticial pode aumentar de forma significativa caso o tecido seja lesado ou infectado.

Você sabia

Aproximadamente dois litros de linfa são devolvidos à circulação por dia. Dessa forma, uma desorganização do sistema linfático por infecções ou tumores pode gerar um grave inchaço tecidual.

Vasos linfáticos convergentes

São aqueles que se unem e se dirigem para o mesmo ponto ou mesmo lugar.

Vasos linfáticos aferentes

Drenam a linfa dos tecidos para o interior dos linfonodos.

Vasos linfáticos eferentes

Drenam a linfa dos linfonodos em direção a circulação sanguínea.

Ducto torácico

Vaso linfático amplo, resultado da união de vasos linfáticos eferentes.

Os capilares linfáticos são canais vasculares revestidos por células endoteliais sobrepostas, sem as junções comunicantes e sem a membrana basal, que são características típicas dos vasos sanguíneos. Eles absorvem o excesso de líquido intersticial acumulado nos tecidos, que é bombardeado para o interior dos vasos linfáticos convergentes que vão se tornando maiores. Estes, por sua vez, se fundem aos vasos linfáticos aferentes que irão drenar a linfa para o interior dos linfonodos. De forma diferente, os vasos linfáticos eferentes drenam a linfa para fora dos linfonodos e se unem para formar um vaso calibroso, chamado de ducto torácico. A linfa oriunda do ducto torácico se esvazia na veia cava superior e, dessa forma, devolve o líquido para a corrente sanguínea.

A comunicação estabelecida entre os órgãos linfoides e o restante do corpo é mantida por linfócitos que são circulantes e passam do sangue para os linfonodos, para o baço e para outros tecidos; depois voltam ao sangue pelos canais linfáticos, como o ducto torácico.

É importante ressaltar que, nos vasos linfáticos, também é possível o desenvolvimento de respostas imunológicas, pois esses vasos coletam antígenos microbianos e os distribuem aos linfonodos, onde serão estimuladas as respostas imunológicas.

Agora que conhecemos as principais funções do sistema imunológico e as células que o compõem, como será que o nosso organismo reconhece as substâncias estranhas? Como se inicia a resposta imune? Vamos entender tudo isso no próximo módulo.

Verificando o aprendizado

ATENÇÃO!

Para desbloquear o próximo módulo, é necessário que você responda corretamente a uma das seguintes questões:

O conteúdo ainda não acabou.

Clique aqui e retorne para saber como desbloquear.

MÓDULO 3


Reconhecer o processamento dos antígenos e de que forma são apresentados e reconhecidos

Antígeno e anticorpos

Os anticorpos são proteínas que ficam circulantes no corpo, produzidas em resposta a estruturas estranhas que foram reconhecidas. Os anticorpos são muito variados e específicos na sua capacidade de reconhecer estruturas estranhas. Já as substâncias que estimulam a produção de anticorpos (ou são reconhecidas por eles) chamamos de antígenos.

É importante ressaltar que outras moléculas são capazes de se ligar aos antígenos (como os receptores de células T), mas os anticorpos foram o primeiro tipo de molécula descoberta com essa capacidade. Os anticorpos reconhecem uma enorme variedade de estruturas antigênicas, possuem uma grande capacidade de reconhecer diferentes antígenos e realizam ligações fortes com eles.

Os anticorpos, também chamados de imunoglobulinas, são glicoproteínas do tipo gamaglobulina, produzidas por plasmócitos (células derivadas de linfócitos B diferenciados). As moléculas de anticorpos compartilham as mesmas características básicas, porém possuem uma gigantesca variabilidade nas regiões que se ligam ao antígeno.

As imunoglobulinas são formadas por quatro subunidades unidas entre si que conferem aos anticorpos uma estrutura semelhante a um Y. Essas quatro subunidades são divididas em cadeias leves e pesadas. Dessa forma, o anticorpo é constituído por duas cadeias pesadas e duas cadeias leves. Na estrutura de Y, os “braços” do Y são chamados de fragmento Fab, que é a porção que se liga ao antígeno; e o “pé” do Y é chamado de fragmento Fc.

Existem tipos diferentes de anticorpos de acordo com a forma que apresentam sua cadeia pesada. São conhecidos como classes de isótipos, desempenham funções diferentes e contribuem para dirigir a resposta imunológica de acordo com cada tipo de antígeno encontrado. As cinco classes de anticorpos são: IgA, IgD, IgE, IgG e IgM.

As principais classes de anticorpos

Assista ao vídeo para conhecer as classes de anticorpos.

Embora os anticorpos possuam uma estrutura geral muito semelhante, existe no ápice da proteína uma pequena região variável chamada de região hipervariável. Ela permite que existam em nosso organismo muitos tipos de anticorpos. Essa grande variedade de anticorpos possibilita ao sistema imunológico reconhecer uma elevada diversidade de antígenos.

Os anticorpos são produzidos somente pelos linfócitos B e podem existir de duas formas diferentes:

Passe o mouse na imagem. Objeto com interação.

Quando os anticorpos são secretados na circulação e nas mucosas, eles são capazes de neutralizar e eliminar microrganismos e toxinas que podem estar presentes no sangue e no lúmen de órgãos mucosos, como trato respiratório e trato gastrointestinal.

Uma das principais funções dos anticorpos é impedir que patógenos (presentes no sangue ou nas mucosas) tenham acesso e colonizem células e tecidos do indivíduo. Dessa forma, os anticorpos impedem que infecções se estabeleçam.

Os anticorpos não conseguem acessar microrganismos que se multiplicam e vivem no interior de células infectadas. Você imagina como esses microrganismos são reconhecidos? Já, já vamos entender como isso acontece.

Lineares

Resíduos dispostos de maneira linear em um antígeno que pode ser proteico ou polissacarídico; a estrutura tridimensional desses epítopos não sofrem alterações.

Conformacionais

Formados por uma proteína que se apresenta na estrutura secundária, terciária ou quaternária, esses epítopos perdem suas funções quando são desnaturados.

Antígenos

Antígeno é qualquer substância a que o anticorpo ou o receptor de célula T pode se ligar especificamente. Os antígenos não são reconhecidos em sua totalidade pelos anticorpos, mas apenas uma parte deles, chamada de epítopo ou determinante antigênico. Um único antígeno pode apresentar múltiplos epítopos em sua superfície. Os epítopos interagem com os anticorpos ou receptores de células T e essa interação é altamente específica, apresentando características físicas e químicas que auxiliam nesse reconhecimento. Existem dois tipos de epítopos, os lineares ou conformacionais.

A ligação realizada entre antígeno-anticorpo é do tipo chave-fechadura, em que a chave é o antígeno e a fechadura é o anticorpo, pois o epítopo se alinha em uma fenda formada pelo sítio de combinação do anticorpo. A união do antígeno e anticorpo é feita por ligações múltiplas não covalentes que garantem ao antígeno se ligar fortemente ao anticorpo. Por serem ligações não covalentes, essas reações entre antígeno-anticorpo são reversíveis.

A capacidade de um sítio de um anticorpo específico reagir com apenas um antígeno é chamada de especificidade. O grau de especificidade das reações antígeno-anticorpo é geralmente elevado. No entanto, pode acontecer de um anticorpo reagir com mais de um antígeno, e a esse fenômeno damos o nome de reatividade cruzada ou reações cruzadas. Isto é possível pois diferentes antígenos podem apresentar epítopos semelhantes. Dessa forma, o anticorpo desencadeia um reconhecimento a um antígeno para o qual não foi especificamente produzido.

Quando um anticorpo reconhece determinado epítopo, ele o deixa “marcado” para que outros componentes do sistema imunológico realizem também o ataque. Além disso, os anticorpos também podem neutralizar o antígeno através da ligação a uma porção necessária para que este seja capaz de provocar infecção.

Locus

Lugar específico em que um gene se localiza no cromossomo.

Complexo de histocompatibilidade principal (MHC)

As moléculas do MHC são proteínas que se localizam na membrana de células apresentadoras de antígenos (APC), que, como o próprio nome diz, possui a função de apresentar antígenos peptídicos para os linfócitos T, que irão realizar o reconhecimento desses antígenos.

O MHC foi descoberto com um grande locus do DNA, onde os produtos eram responsáveis pela rejeição dos transplantes. Dessa forma, podemos entender que o MHC é uma região genômica grande, possui papel fundamental no sistema imunológico e apresenta capacidade de provocar intensa rejeição entre indivíduos da mesma espécie.

Exemplo

Indivíduos que possuem o loci do MHC idêntico (gêmeos idênticos) aceitarão os enxertos uns dos outros; por outro lado, os indivíduos com o loci do MCH diferente terão seus enxertos rejeitados.

As proteínas humanas codificadas a partir do gene MHC são chamadas de antígenos leucocitários humanos ou HLA (sigla de human leukocyte antigens). Essas proteínas receberam esse nome, porque foram descobertas como antígenos dos leucócitos que podiam ser identificados por anticorpos específicos.

Polimórficos

Gene polimórfico é quando ocorre mais de uma forma diferente de um gene específico. Cada variante de um gene polimórfico é chamada de alelo.

O locus do MHC possui dois conjuntos de genes extremamente polimórficos que são chamados de MHC de classe I e MHC de classe II. Além dos genes polimórficos, o locus do MHC possui diversos genes não polimórficos, que são responsáveis pela produção de proteínas envolvidas na apresentação de antígenos.

O MHC de classe I e o de classe II são proteínas da membrana que possuem uma porção aminoterminal, e nela há uma fenda que irá se ligar a peptídeos. A estrutura geral dos MHC de classe I e II é muito semelhante, apesar de haver diferença na composição das subunidades das moléculas.

MHC de classe I

Possui uma cadeia alfa ligada de forma não covalente a uma proteína chamada β2-microglobulina. Os domínios aminoterminais α1 e α2 do MHC formam uma fenda de ligação de peptídeos, que é grande o bastante para acomodar peptídeos de 8 a 11 resíduos de comprimento.

Os resíduos polimórficos são os aminoácidos que se diferem entre as moléculas de MHC de indivíduos diferentes. Esses resíduos do MHC de classe I estão localizados nos domínios α1 e α2. A variação desses resíduos na fenda de ligação peptídica permite reconhecer uma diversidade de peptídeos. O domínio α3 é constante, ou seja, não ocorre variação nesses aminoácidos, e este domínio é local onde o receptor do linfócito T (CD8) liga seu correceptor. É importante saber que o MHC de classe I se expressa na superfície de todas as células nucleadas.

Resíduos polimórficos

Significa dizer que naquela região os aminoácidos estão variando.

MHC de classe II

Apresenta duas cadeias, uma α e a outra β. As regiões aminoterminais das duas cadeias (domínio α1 e domínio β1) possuem resíduos polimórficos e formam uma fenda maior que a fenda de MHC de classe I, que acomoda e reconhece peptídeos que podem ter entre 10 a 30 resíduos de comprimento. O domínio β2 do MHC de classe II não é polimórfico e possui um local onde o correceptor do linfócito T (CD4) se liga.

As moléculas de MHC de classe II se expressam principalmente na superfície das células dendríticas, nos macrófagos e nos linfócitos B. Esta classe também é expressa nas células endoteliais e nas células epiteliais tímicas e podem ser induzidas em outros tipos celulares.

Como já vimos, os genes do MHC de classe I e II são extremamente polimórficos, isto é, existem diversos alelos diferentes entre os indivíduos de uma população. A quantidade de polimorfismos nos genes do MHC é tão grande que dois indivíduos de uma mesma população provavelmente não terão o mesmo conjunto de genes e moléculas do MHC.

Essa enorme variabilidade de polimorfismos garante que os indivíduos sejam capazes de lidar com ampla diversidade de microrganismos e que pelo menos alguns desses indivíduos irão desencadear uma resposta imunológica eficaz contra os peptídeos antigênicos desses microrganismos.

O MHC se liga somente a peptídeos e não a outros tipos de antígenos. Isso porque apenas os peptídeos possuem as características estruturais e a carga necessária para se ligar às fendas das moléculas de MHC. É exatamente por isso que os linfócitos T (CD4 e CD8) só conseguem reconhecer e responder a antígenos proteicos.

Em relação à ligação dos antígenos às moléculas do MHC, cada molécula do MHC apresenta somente um peptídeo por vez, isso porque o MHC dispõe apenas de uma fenda de ligação (local de ligação). Após esta ligação, o complexo MHC + peptídeo será reconhecido e apresentado ao linfócito T, veremos isso no próximo tópico.

Porém, cada molécula de MHC possui a capacidade de apresentar diferentes tipos de antígenos. Isso porque as moléculas de MHC apresentam uma grande especificidade para ligação peptídica, ou seja, um único alelo de MHC pode apresentar diversos peptídeos diferentes às células T, no entanto, apenas um peptídeo por vez.

É importante destacar que as moléculas de MHC possuem uma incapacidade de discriminar antígenos estranhos (antígenos microbianos) e antígenos próprios (do próprio indivíduo). Isso nos leva a alguns questionamentos:

A quantidade de proteínas próprias é extremamente maior que a de antígenos microbianos, por que os MHC disponíveis não estão ocupados constantemente por peptídeos próprios?

A resposta mais provável é que as moléculas do MHC são sintetizadas constantemente, possibilitando que elas estejam prontas para reconhecer um peptídeo.

Então, se a molécula do MHC pode se ligar a antígenos próprios, por que não desenvolvemos constantemente respostas contra antígenos próprios, que seria a chamada resposta imunológica autoimune?

Os linfócitos T que reconhecem antígenos próprios são destruídos ou desativados.

Saiba mais

O MHC foi descoberto a partir de estudos sobre transplante de tecido em camundongos. Somente depois de vários anos de pesquisa, a estrutura e a função do MHC foram definidas. Os cientistas da época verificaram que os transplantes de tecidos entre indivíduos não idênticos eram rejeitados. No entanto, quando o transplante era realizado entre gêmeos idênticos, os tecidos eram aceitos. Isso mostrou que o processo de rejeição tecidual estava determinado pelo DNA dos indivíduos.

APC

Células dendríticas, macrófagos e linfócitos B.

Organelas

Proteassomas e retículo endoplasmático.

Processamento de antígenos e Apresentação de antígenos aos linfócitos T

O processamento de antígenos acontece por meio de duas vias quem envolvem organelas e proteínas celulares diferentes. Quando as APC internalizam proteínas extracelulares, essas proteínas são processadas no interior de vesículas endocíticas e apresentadas por MHC de classe II. Enquanto isso, as proteínas que estão no citosol das células nucleadas são processadas pelas organelas e apresentadas por MHC de classe I.

O processamento de antígenos por MHC classe II ocorre após a ingestão do antígeno, a proteólise deste antígeno nas vesículas endocíticas e uma associação dos peptídeos do antígeno com as moléculas de classe II. As proteínas microbianas ou os microrganismos extracelulares podem ser internalizados pelas células dendríticas e macrófagos a partir de alguns mecanismos, como fagocitose, endocitose e pinocitose, formando as vesículas intracelulares. Essas vesículas podem se fundir com os Lisossomos. Então, as proteínas microbianas serão digeridas no interior dessas vesículas pelas enzimas proteolíticas, resultando em diferentes peptídeos de comprimentos e sequências variáveis que serão associadas ao MHC.

Proteólise

Processo de degradação/digestão de proteínas.

Endocitose

É o processo em que a célula realiza a absorção de partículas através de vesículas (endossomos).

Pinocitose

Englobamento de partículas na forma de partículas líquidas.

Lisossomos

Organelas responsáveis pela degradação de partículas.

As novas moléculas de MHC de classe II produzidas em uma APC irão carregar consigo uma proteína chamada de cadeia constante (Ii). Essa cadeia constante possui uma sequência chamada CLIP, que é peptídeo de cadeia constante classe II. CLIP se liga fortemente à fenda da molécula de MHC de classe II recém-formada. Dessa forma a molécula classe II fica ocupada e isso impede que ela se ligue a peptídeos no retículo endoplasmático (RE), já que as moléculas classe II são sintetizadas no RE. Assim, a molécula de MHC de classe II associada a Ii será direcionada para as vesículas que estão com os peptídeos microbianos recém-processados em seu interior.

É importante ressaltar que essas vesículas possuem dentro delas um outro tipo de MHC classe II, que é o chamado DM. A função do MHC-DM (ou também chamado de HLA-DM) é de trocar o CLIP do MHC de classe II por peptídeos que podem estar disponíveis neste compartimento. Assim que o MHC de classe II se liga firmemente a um dos peptídeos gerados, a partir das proteínas microbianas, esse complexo do MHC + peptídeo se torna estável e será direcionado à superfície celular. Caso a molécula de MHC não encontre um peptídeo no qual ela possa se ligar, a molécula ficará vazia e instável, com isso será degradada na vesícula por proteases.

Um único antígeno, que sofreu proteólise, pode originar vários peptídeos, porém somente alguns poucos deles ligam-se às moléculas de MHC.

O processamento de antígenos por MHC de classe I pode ser dividido em algumas etapas:

Vamos agora entender cada uma dessas etapas?

No citoplasma da célula ocorre a produção das proteínas antigênicas, que podem ser oriundas de vírus que vivem nessa célula infectada, de alguns microrganismos que foram fagocitados e que saíram dos fagossomas, e de genes do próprio hospedeiro que sofreram mutações ou que foram modificados e codificam proteínas nucleares ou citosólicas, como no caso dos tumores. Todas essas proteínas sofrem proteólise por uma organela proteolítica chama de proteassoma. Essa organela cliva as proteínas em peptídeos de tamanho que possibilitam que se liguem bem às moléculas de MHC de classe I.

Como os peptídeos estão no citosol e as moléculas de MHC são sintetizadas no retículo endoplasmático em dois compartimentos separados, elas precisam se encontrar. Assim uma molécula transportadora chamada transportador associado ao processamento antigênico (TAP) resolve esse problema. Isso porque TAP irá se ligar aos peptídeos que foram produzidos no proteassoma, e irá os bombeá-los ativamente para o interior do RE. Uma molécula chamada tapasina irá ligar os MHC de classe I com as moléculas TAP na membrana do RE. Dessa forma, conforme os peptídeos vão entrando no RE, eles podem ser capturados pelas moléculas de MHC classe I. Quando ocorre a ligação do MHC classe I com o peptídeo com o ajuste certo, o complexo será estabilizado e TAP liberará esse complexo, que será transportado para a superfície celular.

Apresentação de antígeno associado ao MHC

As células T são restritas ao reconhecimento de peptídeos associados ao MHC e isso garante que elas só reconhecerão e responderão a antígenos que estejam associados a uma célula. Dessa forma, as células T podem reconhecer os antígenos de microrganismos intracelulares, que requerem mecanismos de resposta mediados pelas células T, assim como microrganismos extracelulares que geram respostas mediadas pelos Linfócitos B (anticorpos).

Com a separação das vias de MHC classe I e classe II de processamento antigênico, é possível que o sistema imunológico responda aos microrganismos intracelulares e extracelulares da melhor forma para combatê-los.

As APC, incluindo linfócitos B e macrófagos, capturam e ingerem os microrganismos extracelulares e são apresentados por MHC de classe II. Os linfócitos T são divididos em linfócitos T CD4 (conhecidos como auxiliares) e em linfócitos T CD8 (conhecidos como efetores ou citolíticos).

As células T CD4 são específicas para reconhecimento do MHC classe II, e essas células auxiliam os linfócitos B a produzir anticorpos e os fagócitos a destruir os microrganismos ingeridos. Dessa forma, as células T CD4 ativam os dois mecanismos efetores mais favoráveis para eliminar os microrganismos que foram internalizados do ambiente extracelular.

No caso dos microrganismos citosólicos, como vírus, os antígenos são processados e apresentados pelo MHC classe I, e esses antígenos ficam expressos na superfície de todas as células nucleadas. Eles serão reconhecidos pelos linfócitos T CD8 que irão se diferenciar em células citotóxicas (CTL). As CTL combatem e destroem essas células nucleadas que estão infectadas, dessa maneira erradicando a infecção. Esse mecanismo é o mais eficaz para destruir e eliminar os microrganismos citoplasmáticos.

Portanto, as respostas imunológicas contra antígenos proteicos dos microrganismos dependem de um sistema organizado e específico de captura e apresentação desses antígenos para serem reconhecidos pelas células T. Os microrganismos que entraram no organismo são capturados pelas células apresentadoras de antígenos. Logo depois, esses antígenos proteicos são apresentados pelas APC às células T que estão circulando pelos órgãos linfoides. As APC são ativadas pelos microrganismos e induzidas a expressar proteínas de membrana (chamadas de coestimuladores) e a secretar citocinas que irão estimular as células T específicas. Esses sinais de coestimulação e de citocinas garantem que as células T respondam a antígenos microbianos e não a substâncias inofensivas não microbianas.

Linfócitos virgens

Aqueles que ainda não reconheceram nenhum antígeno.

Receptores de antígenos e moléculas acessórias dos linfócitos T

Os receptores de antígenos possuem funções muito importantes na maturação dos linfócitos e nas respostas imunes. Os linfócitos virgens, quando reconhecem um antígeno, iniciam respostas e com isso as células T efetoras e os anticorpos são capazes de desempenhar suas funções.

Os linfócitos B e T expressam vários receptores que possuem a função de reconhecer os antígenos: os anticorpos ligados à superfície da membrana dos linfócitos B; e os receptores de células T (TCR) nos linfócitos T.

Esses receptores apresentam características essenciais para a função das células diante das respostas imunológicas. Apesar de estes receptores apresentarem estruturas muito semelhantes, também possuem diferenças fundamentais relacionadas aos tipos de estruturas antigênicas reconhecidas pelas células B e T.

Nos receptores antigênicos, existem regiões (domínios) que estão relacionadas ao reconhecimento do antígeno propriamente, e assim essas regiões variam entre os linfócitos. Já as regiões que estão relacionadas à integridade estrutural e às funções efetoras são conservadas em todos os clones (cópias de linfócitos). Dessa forma, os locais de reconhecimento também são chamados de regiões variáveis (V), e as porções preservadas são chamadas de regiões constantes (C).

Os anticorpos que estão na superfície da membrana plasmática dos linfócitos B funcionam como receptores e são capazes de reconhecer uma variedade muito maior de estruturas químicas do que os receptores antigênicos de células T.

As células T normalmente só reconhecem peptídeos apresentados pelas APC, enquanto os anticorpos dos linfócitos B reconhecem várias formas e conformações de macromoléculas, como: proteínas, lipídeos, carboidratos, ácidos nucleicos, entre outros.

Afinidade

Força de ligação resultante entre um anticorpo e um único epítopo do antígeno.

Os receptores de células T (TCR) são capazes de reconhecer somente o complexo formado por MHC e peptídeo. O TCR se liga ao complexo MHC-peptídeo com uma afinidade relativamente baixa e, para que essa ligação seja fortalecida, ocorre a junção de moléculas acessórias. Essas moléculas não apresentam regiões variáveis, não são polimórficas e estão envolvidas no processo de sinalização, ativação e regulação da resposta imunológica.

As moléculas acessórias se ligam especificamente a outras moléculas na membrana das APC e aumentam a adesão entre o linfócito T e a APC. Além disso, as moléculas acessórias podem apresentar outras funções como auxiliar na passagem dos linfócitos para um tecido e na retenção dessas células no tecido. Podemos citar como exemplo de moléculas acessórias das células T: CD4, CD8, CD28, CTLA-4, CD45R, CD2, LFA-1, L-selectina e CD44.

Verificando o aprendizado

ATENÇÃO!

Para desbloquear o próximo módulo, é necessário que você responda corretamente a uma das seguintes questões:

O conteúdo ainda não acabou.

Clique aqui e retorne para saber como desbloquear.

Conclusão

Considerações Finais

Como vimos, a Imunologia é uma ciência que continua evoluindo até hoje. O estudo do sistema imunológico é fundamental para que outras áreas da ciência possam progredir. Vários recursos médicos utilizados nos dias de hoje são fruto de pesquisas realizadas na área imunológica.

O conhecimento dos elementos formadores do sistema imunológico é de grande importância para a compreensão do seu funcionamento. Esse sistema é composto por moléculas, células, tecidos e órgãos que trabalham juntos, com a finalidade de proteger o organismo da invasão de patógenos que possam acarretar doenças e prejuízos para o indivíduo infectado.

Para que ocorra a proteção contra patógenos, o sistema imunológico utiliza mecanismos para reconhecê-los. Isso ocorre pela identificação dos antígenos presentes na superfície dos microrganismos ou das proteínas microbianas. A identificação é feita via receptores presentes nas células que compõem o sistema imunológico. A partir daí, é desenvolvida uma resposta, desencadeada por vários elementos constituintes do sistema para promover a proteção.

Podcast

Agora, a professora Thaíssa Queiróz encerra o tema reforçando alguns aspectos sobre imunologia.

CONQUISTAS

Você atingiu os seguintes objetivos:

Definiu as funções do sistema imunológico e as principais características das respostas imunológicas

Identificou os órgãos linfoides e as características das células que compõem o sistema imunológico

Reconheceu o processamento dos antígenos e de que forma são apresentados e identificados